The Addition of Astaxanthin 0.5% in Sunscreen SPF 50 Inhibits the Increase of Sunburn Cells in Rats Induced By Ultraviolet Light B
Article Main Content
Long-term exposure to ultraviolet light can cause chronic inflammation that can damage collagen and increase sunburn cells known as photoaging. There is a prevalence of up to 69% in female students in Jakarta aged 18–21 years who experience aging of the skin due to not using sunscreen. One of the signs of photoaging measured in this study is sunburn cells. This study wants to prove that the addition of astaxanthin 0.5% contained in SPF 50 sunscreen can inhibit the increase in sunburn cells in mice induced by ultraviolet B-light. Sunscreen also has protection limits, for example, SPF 30 has 97% protection, which means there is still 3% of radiation entering the skin so there is still a small portion that can cause free radicals. Additional ingredients are needed so that sunscreen can optimally protect the skin. An experimental study with a post-test-only design was used in this study comparing rats given SPF 50 sunscreen containing no astaxanthin (P1) and rats given SPF 50 sunscreen containing 0.5% astaxanthin (P2) to assess the inhibition of increased sunburn cells. 36 rats (Rattus Norvegicus) were divided into 2 groups and then shaved and exposed to UVB light with a total of 3100 mJ for 5 weeks. After the last exposure in the fifth week, skin tissue was taken fixed and stained using Hematoxylin Eosin to count sunburn cells. Sunburn Cells in group P1 had a value of 0.47 Å} 0.27 cells per high power field (hpf), and group P2 had a value of 0.16 Å} 0.18 cells per hpf. According to the Mann-Whitney test, there is a significant difference in the number of sunburn cells between groups (p < 0.05). From the results of this study, it can be concluded that astaxanthin 0.5% added to SPF 50 sunscreen products can inhibit the increase in sunburn cells.
Introduction
Aging is the process of decline and even cessation of organ function. Factors causing the aging process consist of unhealthy lifestyles, reduced hormones and lack of antioxidants. With the concept of Anti-Aging Medicine aging can be prevented, treated and restored to its original state [1]. Research in Jakarta in 2016 found that female students aged 18–21 years experienced premature skin aging. About 69% of the respondents who did not use sunscreen experienced skin aging. There is a relationship between the use of sunscreen and skin aging [2]. The use of sunscreen is one of the efforts to inhibit skin aging. Long-term exposure to ultraviolet light can cause chronic inflammation that can damage collagen and other skin matrices known as photoaging, which can cause cancer. Skin exposed to the sun continuously will cause sunburn and keratinocytes that experience apoptosis (sunburn cells).
Sunscreen products have a Sun Protection Factor (SPF) value which serves to protect the skin from ultraviolet B radiation and recently added with Protection Guide of UVA (PA) which provides protection against ultraviolet A radiation. The higher the concentration of SPF and PA the product becomes more protective against ultraviolet A and B radiation. However, sunscreen ingredients oxybenzone and octinoxate have recently been reported to cause health problems such as endocrine disorders and photoallergies and pollute the environment, especially water [3]. Daily use of sunscreen can prevent photoaging [4].
Astaxanthin is a ketocarotenoid class antioxidant that has a red-orange colour which is synthesised by microalgae, in this case by Haematococcus pluvialis. In its pharmacological effects, astaxanthin is found to provide protection against cell damage and chronic inflammatory diseases, anti-aging effects on the skin, anticancer activity and suppress the peroxidation process in cell membranes [5]. Astaxanthin 0.5% contained in sunscreen is the latest product that can be a breakthrough to protect the skin longer than ordinary sunscreen [6]. Astaxanthin can prevent cell damage, reduce inflammation in the skin and prevent wrinkles, thinning of the skin and decreased skin elasticity due to ultraviolet rays. It is expected that this product can provide longer and better protection in protecting the skin when exposed to sunlight because the astaxanthin content can prevent the incidence of sunburn and sunburn cells compared to ordinary sunscreen.
Materials and Methods
This study compares SPF 50 sunscreen that does not contain astaxanthin (P1) and SPF 50 sunscreen containing 0.5% astaxanthin (P2) in inhibiting the increase in sunburn cells and decreases in collagen fibres. 36 male Wistar rats divided into 2 groups were shaved in the dorsal region with a size of 3 × 3 cm2 and then exposed to UVB. After the last exposure in the fifth week, skin tissue was taken fixed and stained using Hematoxylin Eosin to count sunburn cells.
Ultraviolet Radiation
Rats were exposed to ultraviolet B-light using a lamp for 5 weeks with a total exposure dose of 3100 mJ/cm2. Exposure was increased in stages starting at 100 mJ in the first week, 200 mJ in the second and third weeks and 400 mJ in the fourth and fifth weeks.
Histopathological Examination
The rats were shaved in the dorsal area of 3 × 3 cm using a shaver until clean. The UV lamp was set with a spectral between 311 nm and the distance of the UV lamp to the skin of the rat’s back was maintained at a distance of 20 cm. Application of sunscreen as much as 0.2 grams 1x spread 30 minutes before irradiation and irradiation treatment of 100 mJ/cm2 for 3x (Monday, Wednesday, Friday) in the first week. Application of sunscreen as much as 0.2 grams 1x dab 30 minutes before irradiation and irradiation treatment of 200 mJ/cm2 for 3x (Monday, Wednesday, Friday) in the second and third weeks. Application of sunscreen as much as 0.2 grams 1x dab 30 minutes before irradiation and irradiation treatment of 400 mJ/cm2 for 3x (Monday, Wednesday, Friday) in the fourth and fifth weeks [7]. Food and water consumption were recorded daily. At the end of the experiment in week 5, the rats were killed by injecting Ketamine and then cervical dislocation. Then the skin was fixed with 10% phosphate-buffered saline Formalin for 24 hours. Then stained with Hematoxylin-Eosin staining. Hematoxylin-Eosin staining by observing with 400x magnification in 5 fields of view, observations and calculations were made by shifting the preparation from left to right then photographed and averaged. Count and record each result and then test with SPSS version 25.
Results and Discussion
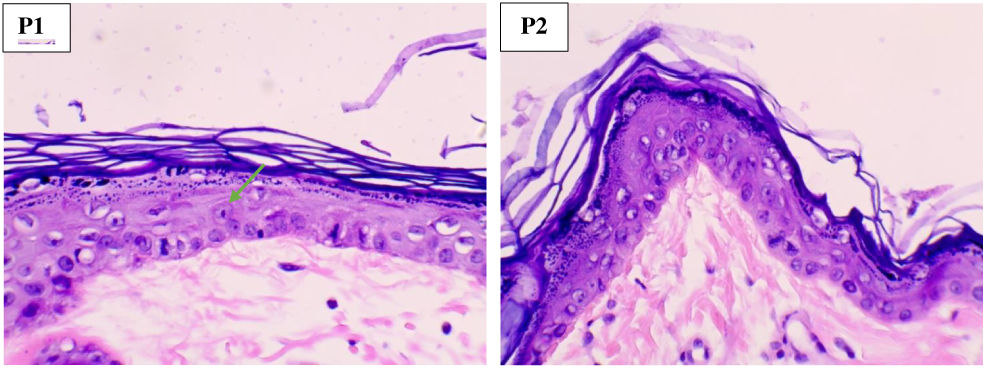
Table I shows that there is a significant difference in the number of sunburn cells in the sunscreen without astaxanthin (P1) and sunscreen with astaxanthin (P2) groups (p < 0.001). The mean of sunburn cells in the P1 group was 0.47 cells per high power field and P2 was 0.16 cells per high power field in Fig. 1. Sunburn cells are shown in Fig. 2, where there are more in group P1 than P2. The P2 group did not appear to have sunburn cells.
| Variable | Groups | n | Mean (cells/hpf) | SD | p |
|---|---|---|---|---|---|
| Sunburn cells | P1 | 18 | 0.47 | −0.36 | 0.00 |
| P2 | 18 | 0.16 |
Fig. 1. Mean of sunburn cells.
Fig. 2. Histological features of the epidermis of rat skin after treatment (Hematoxylin eosin staining, magnification 400x). The green arrow indicates sunburn cells are more visible in group P1 than P2.
Effect of Addition of Astaxanthin 0.5% in SPF 50 Sunscreen and Number of Sunburn Cells
Continuous exposure of the skin to the sun results in sunburn, apoptotic keratinocytes (sunburn cells), and inflammation-induced collagen depletion. Sunburn cells can be identified in the epidermis as cells whose homogeneous shiny eosinophilic cytoplasm and hyperchromatic condensed picnotic cell nuclei are easily seen in histological skin stained with Hematoxylin Eosin stain using light microscopy [8]. Inflammation due to prolonged exposure to sunlight causes vasodilatation of skin blood vessels and gives rise to typical erythema (sunburn). Within an hour after exposure, mast cells release serotonin, histamine, TNF and other cytokines. Within 2 hours after exposure, skin cell damage in the epidermis is visible, with both keratinocytes and Langerhans cells undergoing apoptosis as a result of DNA damage. Sunburn cells are keratinocytes that undergo apoptosis after prolonged exposure to ultraviolet B-light that damages DNA and chromophores. The process of cell death starts from exposure to ultraviolet light which forms Reactive Oxygen Species (ROS), activates the p53 tumour suppressor and caspase 3 which stimulates apoptosis in cells. If these keratinocytes are programmed to undergo faster cell death, normal skin homeostasis is disrupted [9].
Based on the results of the study, it was found that the number of sunburn cells in the SPF 50 sunscreen group without astaxanthin (P1) 0.47 ± 0.27 cells per hpf was higher than the number of sunburn cells in the SPF 50 sunscreen group with 0.5% astaxanthin (P2) 0.16 ± 0.18 cells per hpf. In Ariana’s research, the average sunburn cell was 36.5 ± 7.53 cells per hpf in the placebo group that received ultraviolet B-light for 10 days with a total irradiation dose of 250 mJ [10]. Melati’s research in the rats’ group without treatment obtained sunburn cells of 0.10 ± 0.17 cells per hpf and the control group was applied a placebo and then exposed to ultraviolet B-light for 12 days in 4 weeks with a total exposure dose of 840 mJ obtained sunburn cells with an average of 1.00 ± 0.63 cells per hpf [11]. Astaxanthin 0.5% added to sunscreen is proven to play a protective role against ultraviolet B rays because of its antioxidant and scavenger properties to minimise DNA damage. Astaxanthin produced naturally by H. pluvialis is considered more bioactive than those produced through fermentation or chemical synthesis. Studies have shown that astaxanthin has a greater ROS scavenger capacity than vitamin C or vitamin E. A topical cream containing astaxanthin from krill reduces redness (erythema) by 60% [12]. Rats that received ultraviolet B exposure for 10 days with a total irradiation dose of 250 mJ obtained some sunburn cells 36.5 ± 7.53 cells per hpf proving that small doses of ultraviolet B-light cause the formation of sunburn cells [10]. In this study with exposure to ultraviolet B light of 3100 mJ for 15 days in 5 weeks, the number of sunburn cells was 0.47 ± 0.27 cells per hpf in the SPF 50 sunscreen group without astaxanthin and 0.16 ± 0.18 cells per hpf in the SPF 50 sunscreen group with 0.5% astaxanthin. It was concluded that the use of SPF 50 sunscreen can reduce the number of sunburn cells compared to those who do not use sunscreen and the addition of astaxanthin 0.5% in sunscreen can reduce the number of sunburn cells up to three times compared to SPF 50 sunscreen that does not contain astaxanthin.
In research astaxanthin has a mechanism of action that donates electrons and attracts unpaired electrons and holds additional bonds to neutralise free radicals such as Nitrogen, Sulfur, Carbon, and Oxygen species. In addition, it also increases superoxide dismutase (SOD) and interferon Gamma thereby increasing the anti-inflammatory effect. In the skin, astaxanthin plays a role in mitochondrial protection and increases energy efficiency thereby stimulating antioxidant effects [13]. Astaxanthins can reduce dependence on chemical sunscreens and thus reduce water pollution [14]. Sunscreen ingredients such as octinoxate and oxybenzone are known to cause deposits in water that can damage marine ecosystems such as coral reef diversity [3].
The role of astaxanthin in protecting the skin against ultraviolet light has been reported in vitro and in vivo. Astaxanthin is reported to have direct antioxidant activities such as increasing skin moisture, preventing lipid peroxide production, upregulating ROS-producing enzymes, xanthine oxidase and NADPH oxidase 4, preventing decreased expression of endogenous antioxidant enzymes such as superoxide dismutase and glutathione peroxidase, anti-inflammatory effects by preventing increased IL-1, IL-6, IL-8 and TNF alpha [15]. The anti-inflammatory effect reported mechanism includes multiple signalling pathways including phosphatidylinositol 3-kinase/protein kinase B (PI3K/AKT), nuclear factor erythroid 2-related factor 2 (Nrf2), nuclear factor kappa B (NF-κB), extracellular signal-regulated kinase 1/2 (ERK1/2), c-Jun N-terminal kinase (JNK), p38 MAP kinase (p38 MAPK), and Janus kinase 2/signal transducer and activator of transcription proteins-3 (JAK-2/STAT-3) [16].
Research also suggests astaxanthin can reduce fine lines and wrinkles, improve skin elasticity, protect against sun damage, and prevent age spots and hyperpigmentation. Astaxanthin is thought to function as an internal sunscreen; as it reduces inflammation, and reduces UV damage to skin cells [17].
Sunscreen is not an antioxidant, which means it can still cause the impact of free radicals even though sunscreen absorbs and then converts into heat energy out through the skin on chemical (organic) materials and reflects ultraviolet rays on physical (inorganic) materials [18]. Sunscreen also has protection limits, for example, SPF 30 has 97% protection, which means that there is still 3% radiation entering the skin so there is still a small portion that can cause free radicals [19].
Conclusion
Based on the results of the study, the addition of astaxanthin 0.5% in SPF 50 sunscreen inhibited the increase in sunburn cells and inhibited the decrease in collagen fibres in rats exposed to ultraviolet B-light.
This is because astaxanthin can act as an antioxidant and enhance the role of sunscreen in protecting the skin and preventing damage from exposure to ultraviolet B rays.
References
-
Pangkahila W. Anti Aging Medicine: Memperlambat Penuaan, Meningkatkan Kualitas Hidup. Jakarta: PT.Kompas MediaNusantara; 2007.
Google Scholar
1
-
Dewiastuti M, Hasanah IF. Pengaruh faktor-faktor risiko penuaan dini di kulit pada remaja wanita usia 18–21 Tahun [The influence of risk factors for premature aging on the skin in adolescent women age 18–21 years]. Jurnal Profesi Medika. 2017;10(1):21–5.
Google Scholar
2
-
Siller A, Blaszak SC, Lazar M, Olasz Harken E. Update about the effects of the sunscreen ingredients oxybenzone and octinoxate on humans and the environment. Plast Surg Nurs. 2018;38(4):158–61. doi: 10.1097/PSN.0000000000000244.
Google Scholar
3
-
Hughes MC, Williams GM, Baker P, Green AC. Sunscreen and prevention of skin aging: a randomized trial. Ann Intern Med. 2013;158(11):781–90.
Google Scholar
4
-
Li X, Matsumoto T, Takuwa M, Saeed ESAM, Hirabashi T, Kondo H, et al. Protective effects of astaxanthin supplementation against ultraviolet-induced photoaging in hairless mice. Biomedicines. 2020;8(2):18. doi: 10.3390/biomedicines802001.
Google Scholar
5
-
Zakaria NNA, Zamzurie NA, Harith ZT. Evaluation of sunscreen cream incorporated with astaxanthin from Haematococcus pluvialis in different storage conditions. IOP Conf Ser: Earth Environ Sci. 2021;756(1):012078. doi: 10.1088/1755-1315/756/1/012078.
Google Scholar
6
-
Damayanti, Prakoeswa CRS, Purwanto DA, Endaryanto A, Listiawan MY, Wirohadidjoyo YW, et al. Wistar rat as photoaging mouse model. J Pakistan Assoc Dermatol. 2023;33(1):24–9. Available from: https://www.jpad.com.pk/index.php/jpad/article/view/2016.
Google Scholar
7
-
Lu YP, Lou YR, Peng QY, Xie JG, Conney AH. Stimulatory effect of topical application of caffeine on UVB-induced apoptosis in the epidermis of p53 and Bax knockout mice. Cancer Res. 2004;64(14):5020–7. doi: 10.1158/0008-5472.CAN-04-0760.
Google Scholar
8
-
Mcstay CC. Sunburn [Internet]. Medscape. (2021). [Updated 2021 August 12, Cited 2023 July 6]. Available from: https://emedicine.medscape.com/article/773203-overview?reg=1&icd=login_success_email_match_norm#a4.
Google Scholar
9
-
Ariana P. Pemberian oral bubuk Polypodium leucotomas menghambat pembentukan sel Sunburn pada Tikus (RattusNorvegicus) wistar jantan yang dipapar UVB [Thesis]. Denpasar: Udayana University; 2018.
Google Scholar
10
-
Melati D. Pemberian Krim Ekstrak Etanol Buah Undis (Cajanus cajan L) Mencegah Peningkatan Sunburn Cells Epidermis dan Penurunan Kadar Tumor Necrosis Factor Alpha (TNF-α) Tikus Wistar Jantan (Rattus Norvegicus) yang Dipapar Sinar Ultraviolet B [Thesis]. Denpasar: Udayana University; 2023.
Google Scholar
11
-
Davinelli S, Nielsen ME, Scapagnini G. Astaxanthin in skin health, repair, and disease: a comprehensive review. Nutr. 2018;10(4):1–12. doi: 10.3390/nu10040522.
Google Scholar
12
-
Kidd PM. Astaxanthin, cell membrane nutrient with diverse clinical benefits and anti-aging potential. Altern Med Rev. 2011;16(4):355–64. Available from: https://www.researchgate.net/publication/51980248.
Google Scholar
13
-
Guan LL, Lim HW, Mohammad TF. Sunscreens and photoaging: a review of current literature. Am J Clin Dermatol. 2021;22(6): 819–28. doi: 10.1007/s40257-021-00632-5.
Google Scholar
14
-
Ito N, Seki S, Ueda F. The protective role of astaxanthin for UV-induced skin deterioration in healthy people-a randomized, double-blind, placebo-controlled trial. Nutrients. 2018 Jun 25;10(7):817. doi: 10.3390/nu10070817.
Google Scholar
15
-
Petric D. Bakuchiol and astaxanthin: a new weapon for sun protection? Food and Health. 2022;4(3):16.
Google Scholar
16
-
Ekpe L, Inaku K, Eyam E, Ekpe V. Antioxidant effects of astaxanthin in various diseases—A review. JMol Pathophysiol. 2018;7:1–6. doi: 10.5455/oams.20180315075538.
Google Scholar
17
-
Sander M, Sander M, Burbidge T, Beecker J. The efficacy and safety of sunscreen use for the prevention of skin cancer. Can Med Assoc J. 2020;192(50):E1802–8. doi: 10.1503/cmaj.201085.
Google Scholar
18
Most read articles by the same author(s)
-
Dhea Frisilla,
Wimpie Pangkahila,
Agus Eka Darwinata,
The Ethanol Extract of Tangse Liberica Coffee (Coffea liberica) Inhibited the Reduction of Leydig Cell Number and Testosterone Levels in Male Wistar Rats (Rattus norvegicus) Exposed to Ultraviolet B Light , European Journal of Biomedical Research: Vol. 1 No. 5 (2022) -
Lisye Marrilyn Lukas,
Ni Made Linawati,
I Wayan Sumardika,
Ida Ayu Alit Widhiartini,
I Wayan Weta,
Luh Putu Iin Indrayani Maker,
The Effect of Green Gedi Leaves Ethanol Extract (Abelmoschus Manihot) Towards TNF-Alpha Levels, Amount Foam Cells, Aorta Wall Thickness and Lee Index in Male Wistar Rats Induced by High-Fat Diet , European Journal of Biomedical Research: Vol. 3 No. 5 (2024) -
Mila Damayanti Wahyuningsih,
Wimpie Pangkahila,
Ni Wayan Winarti,
The Administration of 2% Plum (Prunus domestica L.) Extract Cream Inhibited the Increase of Tyrosinase Enzyme Expression and the Amount of Skin Melanin in Male Guinea Pigs (Cavia porcellus) Skin Exposed to UV B Light , European Journal of Biomedical Research: Vol. 2 No. 3 (2023)





