Amplification of Sars-Cov2 Viral Markers in Côte d’Ivoire
Article Main Content
The COVID-19 pandemic is causing millions of deaths worldwide. In West Africa, particularly in Côte d’Ivoire, many cases of illness and death have also been reported. The country has applied the diagnostic method recommended by the World Health Organization based on the detection of the genetic material of the SARS-CoV2 virus using RT-qPCR, which requires native or recombinant positive controls to validate the diagnostics. Recombinant plasmids are used for in vitro amplification in E. coli strains. This study aims to propose a bank of recombinant viral genomes for the diagnosis of SARS-CoV-2.
A total of fifty (50) positive nasopharyngeal samples have been collected during the pandemic from 2020 to 2022. ARN viral extraction was applied, and the viral targets of Envelope, Membrane, Nucleoprotein, and Glycoprotein Spike were amplified using RT-qPCR methods. The PCR products were cloned to obtain recombinant plasmids.
Our results show positive amplification of the three genes E, M, and N detected with positive rates of 50%, 40%, and 36%. A partial 995 bp fragment of the S gene was amplified at a low rate.
Recombinant plasmids of SARS-CoV-2 were obtained, 50, 40, and 13 for the E gene, M gene, and N gene respectively. The recombinant plasmids were detected positive by conventional PCR and real-time PCR of SARSCoV-2. The nucleotide sequence of recombinant plasmids shows sequences homologies of 95% to 100% with the Wuhan reference strain for all three genes. This study has provided reliable recombinant plasmids for the diagnosis of SARS-CoV-2 in Côte d’Ivoire and offers the way for future studies to diagnostics tools.
Introduction
The creation of recombinant DNA molecules (molecular cloning) has spurred advances in life sciences. DNA manipulation has become easy with powerful tools showing exponential growth in applications and sophistication of recombinant DNA technology. Gene cloning has become simple, leading to an explosion in understanding gene function by seamlessly assembling multiple DNA fragments or using interchangeable gene cassettes, maximizing speed and flexibility [1].
Moreover, molecular cloning refers to the procedure of isolating a defined DNA sequence and obtaining multiple copies of it in vitro. Although cloning is generally used to amplify DNA fragments containing genes, it can be used to amplify any DNA sequence such as promoters, non-coding sequences, chemically synthesized oligonucleotides, and Randomly fragmented DNA. Cloning is widely used in biological experiments and technological applications such as the commercial production of recombinant antigens, cytokines, and proteins [2], [3].
Severe acute respiratory syndrome coronavirus 2 (SARS-CoV-2) emerged in early 2020 with human cases in Wuhan, China [4], [5]. It has rapidly rampaged worldwide, causing a pandemic of coronavirus disease (COVID-19) that ranges from fever and breathing difficulty to acute respiratory distress and death [5], [6]. With over 300,000 people infected in less than 3 months, SARSCoV-2 causes the most severe disease in older patients and people with co-morbidities, including heart disease, diabetes, and other health conditions.
The outbreak of the novel coronavirus SARS-CoV-2 had an initial epicenter in China and has spread to many other countries, including those in Asia, Western Europe, North America but also Africa by the end of 2019 [7], [8].
As of April 15, 2023, over 685, 585, 854 cases of COVID-19 have been reported resulting in over 6, 842, 293 deaths worldwide. In Africa, 12, 810, 531 cases of COVID-19 are reported with 258, 662 deaths [9], [10].
SARS-CoV-2 belongs to the genus Coronavirus, the family Coronaviridae, and to the order of Nidovirales. Its genome is a positive-sense single-stranded RNA with specific genetic characteristics similar to known coronaviruses [11], [12]. It is composed of four structural proteins that are thought to be involved in the invasion of host cells and give the virus its virulence. It is a spicule (Spike), an envelope (E), a membrane (M), and a nucleocapsid (N) [13], [14].
Several different diagnostic techniques for SARS-CoV2 are known, in particular for the detection of viral RNA, using nucleic acid amplification tests (rRT-PCR); the detection of viral antigens through immuno-diagnostic techniques commonly called rapid diagnostic tests for the detection of antigens, or RDT-Ag and finally the detection of host antibodies using serological techniques, immuno-enzymatic tests (ELISA) or chemiluminescence immunoassay (CLIA) techniques [15], [16].
The diagnostic technique for SARS-CoV-2 recommended by the World Health Organization is based on the detection of genetic material by RT-qPCR on nasopharyngeal swabs (NP), bronchial aspirates (BA), throat swabs, salivary, and sputum [17]. The validation of this method requires the use of positive control which most often are bacterial plasmids modified to contain the target sequence of the pathogen to be detected.
In particular, one of the importance of recombinant plasmids is their use for highly virulent pathogens like Coronaviruses and other viruses of classification level 4. Because high pathogenicity and high transmission rate of the whole virus for biosafety and biosecurity issues, so it is essential to develop recombinants tools. The fragmentation of the genome into several plasmids reduces the risk of contamination. Therefore, laboratory PCR testing for diagnosis was very limited in many African countries. There are urgent needs to continue to increase testing capacity with recombinants controls. The main of this study is to amplify major viral markers of SARS-CoV-2 and to propose their recombinants plasmids for diagnosis.
Material and Methods
Sample Collection
This study was carried out mainly at the Molecular Biology Platform of the Pasteur Institute of Cote d’Ivoire, with the agreement of the National Committee for Ethics in Life and Health Sciences (N/Ref: 028- 22/MSHPCMU/CNESVS-km).
Fifty (50) nasopharyngeal samples collected from 2020 to 2022 were selected for this study. This selection was made on the basis of samples positive for ORF1ab target whose Cq (quantization cycle) is less than 30. These samples were obtained from the Center for Biological Resources of Institute Pasteur de Côte d’Ivoire. The samples were stored at −196 °C after diagnosis for research purposes.
RT-PCR Amplification of Viral Gens
Viral RNA extraction has been proceeded using QIAamp Viral RNA Mini Kit (Qiagen, USA) according to the manufacturer’s instructions (Qiagen, Hilden, Germany).
Gene E (position 26, 245–26, 472), gene M (position 26, 553–27, 191), and gene N (position 28, 274–29, 533) of the SARS-CoV-2 (NC_045512.2) were investigated. The primers were designed using Snap Gene V6.2 (Table I).
| Targets | Sequence | Size (bp) | |
|---|---|---|---|
| E | F | ATGTACTCATTCGTTTCGGAAG | 228 |
| R | TTAGACCAGAAGATCAGGAACT | ||
| M | F | ATGGCAGATTCCAACGGTAC | 669 |
| R | TTACTGTACAAGCAAAGCAATATTG | ||
| N | F | ATGTCTGATAATGGACCCCAAA | 1260 |
| R | TTAGGCCTGAGTTGAGTCAG | ||
| S | F | ATGTTTGTTTTTCTTGTTTTATTGCC | 3825 |
| R | TTATGTGTAATGTAATTTGACTCCTT | ||
A 50 µl-RT-PCR reaction contains 5 µl RNA (10 pg-1 µg), 25 µl of 2x Mix-PCR buffer (One-Step RT-PCR System, SuperScriptTM), 0.5 µl of each primer, 1 µl of Taq DNA polymerase enzyme (Platinum™) and 18 µl of DNase/RNase free water. Reactions were initiated by a reverse transcription at 45 °C for 30 min, a pre-denaturation at 94 °C for 2 min, followed by 40 cycles of consecutive denaturation (94 °C for 30 s), primers annealing (55 °C for 30 s), extension (72 °C for 1 min) and a final extension (72 °C for 10 min). The reactions were carried out in Vapoprotect Mastercycler Pro (Eppendorf, Germany).
Gel electrophoresis of PCR products was run for 120 min at 80 V using a 100 pb DNA ladder (Promega) as a molecular weight marker. The gel images were recorded using the Gel Doc EZ Gel Documentation System (BioRad, USA).
Sequencing of Viral Gens
After electrophoresis, PCR products were purified using Wizard® SV Gel and PCR Cleanup System (Promega, Germany) following the manufacturer’s instructions. The purified DNA was quantified using Nanodrop ONE (Life Technologies, USA).
The amplified genes were sequenced. Sequencing was carried out using the Terminator v3.1 cycle sequencing kit BigDye kit (Applied Biosystems, USA). The reaction mix (20 µl) contains 5 µl DNA, 2 µl of 5x sequencing buffer, 4 µl of BigDye Terminator Reaction mix, 1 µl of 4 µM primer, 8 µl of DNase/RNase free water. Amplification was initiated at 96 °C for 30 sec, followed by 25 cycles 50 °C for 30 sec, and 60 °C for 4 minutes. After amplification, the Agencourt CleanSEQ kit was used for the purification of the PCR products following the manufacturer’s instructions. Capillary electrophoretic reading was performed with the ABI 3500XL Genetic Analyzers 24 capillary automaton (Applied Biosystems, USA).
Cloning of SARSCOV-2 Gens
Ligations were set up by adding in a microtube 5 µl of 2x T4 DNA ligation buffer, 1 µl of 50 ng pGEM-T Easy vector (Promega, Germany), 1 µl of T4 DNA ligase, 1 to 3 µl PCR purified product and DNase/RNase free water up to 10 µl. The reaction mix was incubated overnight at 4 °C.
Then, 3 µl of reaction mix was added to JM109 E. coli competent cells (Promega, Germany), incubated for 20 min on ice, and transformed by heat shock at 42 °C for 50 s. 450 µl of SOC medium (Invitrogen, USA) to the transformation and the cells were incubated for 90 min at 37 °C under agitation.
Several culture aliquots of 50 µl and 100 µl were plated on LB agar containing 100 µg of ampicillin, 40 µl of 20 mg/ml X-Gal solution (Invitrogen, USA), 40 µl of 100 mM IPTG (Invitrogen, USA). The plates were incubated overnight at 37 °C with 5 % CO2.
The positive colonies were selected and incubated in 3 ml LB containing 100 µg of ampicillin for 24 hours. Then, 3 ml of bacterial culture were centrifuged at 3000 × g for 15 minutes. The plasmids were then extracted from the pellet obtained using the Miniprep Pure Link HQ purification kit (Invitrogen, USA) following the manufacturer’s instructions. The amount of plasmid DNA extracted was quantified using Nanodrop (Life Technologies, USA). The plasmids were sequenced as described previously.
Validation of Recombinant DNA Plasmids
Detection of the insert of gene E was carried out using the nCoV real-time detection kit (SD Biosensor, Korea).
This kit was used for the verification of insert E. The amplification conditions were used according to the manufacturer’s recommendations. The qRT-PCR amplification of 30 µl reaction volume contained 14 µl of 2019-nCoV Reaction Solution, 6 µl of RTase mix with 10 µl of plasmid DNA. qRT-PCR was initiated to reverse transcription for 15 min at 50 °C followed by pre-denaturation at 95 °C for 3 min, 5 cycles of 95 °C for 5 sec, 60 °C for 40 sec, 40 cycles of 95 °C for 5 secs, 60 °C for 40 secs. Data acquisition is performed after the 40 cycles. Amplification was performed on QuantStudio 5 Real Time machine (Applied Biosystem, USA).
For the validation of the N and M genes of SARS-CoV2, a conventional PCR was performed with the enzyme GoTaq® Flexi DNA polymerase (Promega). It also contained 10 μl of 5X PCR buffer, 4 μl of 25 mM MgCl2, 1.5 μl of 10 mM dNTP, 0.5 μl of 20 μM Sense primer, 0.5 μl of 20 μM antisense primer, 0.4 μl of DNA polymerase GO Taq, 5 μl of PCR1 product and the mix is supplemented with H2O up to a final volume of 50 μl. PCR was initiated for 5 min at 94 °C for pre-denaturation, followed by 40 cycles of 94 °C for 30 sec, 55 °C for 30 sec, 72 °C for 1 min, and a final extension at 72 °C for 10 mins. Amplification was also performed with the Vapoprotect Mastercycler Pro thermocycler (Eppendorf, Germany).
Results
Amplification of Viral Targets
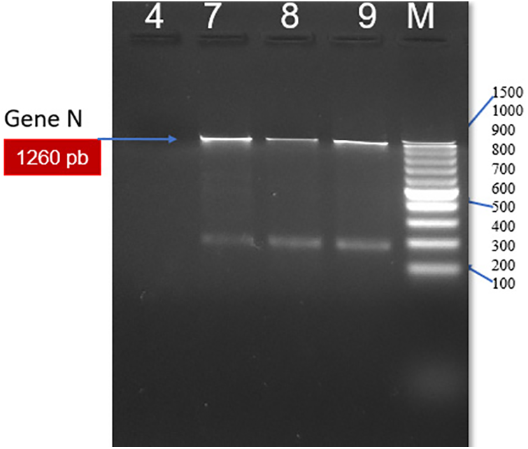
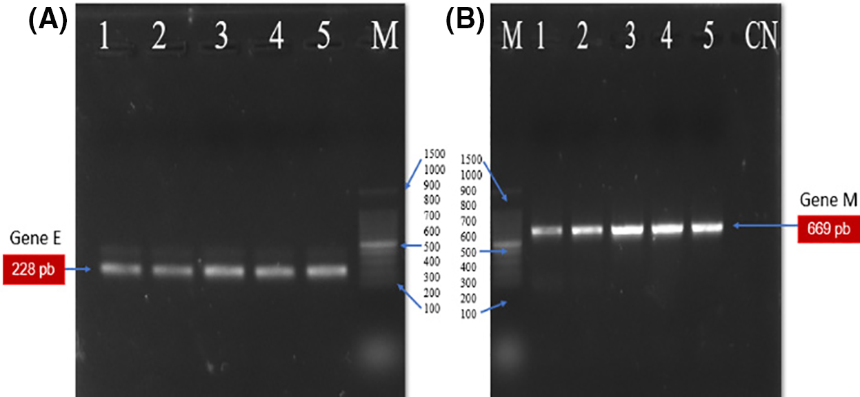
Viral targets of SARS-CoV-2 were detected with positive DNA bands of 228 bp for the E gene (Fig. 1A), 669 bp for the M gene (Fig. 1B), and 1260 bp for the N gene (Fig. 2).
Fig. 1. Amplification by RT-PCR of the viral gene of SARS-CoV-2. (A) Amplification of E gene; Well 1: sample COV58792/2020; Well 2: sample COV52030/2020; Well 3: sample COV334564/2021; Well 4: sample COV334932/2021; Well 5: sample COV799623/2022; Well M: 100 bp DNA Ladder Molecular (Promega). (B) Amplification of M gene: Well M: 100 bp DNA Ladder Molecular (Promega); Well 1: sample COV58792/2020; Well 2: sample COV 52030/2020; Well 3: sample COV334564/2021; Well 4: sample COV334932/2021; Well 5: sample COV799623/2022; Well CN: negative control (H2O).
Fig. 2. Amplification by RT-PCR of the N gene of SARS-CoV-2.
The positivity rate was 50% for the E gene, 36% for the N gene, and 38% for the M gene. No amplification of Glycoprotein Spike was positive for several clinical samples.
Fig. 3 illustrates the presence of blue and white colonies of transformants integrating insert E (Image A), insert N (Image B), and insert M (Image C) of SARS-CoV2 after 24 hours of incubation at 37 °C with 5% CO2. After the culture on agar, the amplification of the colonies in the S.O.C medium made it possible to obtain significant quantities of colonies containing the inserts (Fig. 4).
Fig. 3. Plate containing transformants E. coli with insert E gene (A), with insert N gene (B) and with insert M gen (C) of SARS-CoV-2 after 24 hours of incubation at 37 °C with 5% CO2.
Fig. 4. Amplification of positive E. coli colonies containing recombinants plasmids with viral genes of SARS-CoV-2, incubation for 24 h at 37 ° C in selective S.O.C medium containing 100 μg/ml of ampicillin.
Sequencing Analysis
Sequencing was carried out to verify the reliability of the recombinant’s DNA sequences. The multiple alignment of DNA sequences confirms SARS-CoV-2 strains. The reference sequences named EPI ISL 402124-E, EPI ISL 402124-M, and EPI ISL 402124-N from GISAID (https://www.epicov.org) were used for the multiple alignments. Our sequences show, no insertion, no substitution, no deletion in the sequence. The sequences of the E, M, and N genes are well conserved. After the alignments, the results of the phylogenetic analysis, and similarities of 95%–100% were confirmed with strains circulating in West Africa (Fig. 5).
Fig. 5. Phylogenetic tree of sequenced E plasmids.
Validation of Recombinant DNA
A total of 50, 40, and 13 plasmids containing E, N, and M respectively were confirmed in this study (Fig. 6). Conventional PCRs carried out on the plasmid DNAs showed positive DNA bands for E, M, N and real-time PCR for E gene (Fig. 7).
Fig. 6. Distribution of recombinants plasmids of SARS-CoV-2.
Fig. 7. Amplification of SARS-CoV-2 E gene from DNA recombinant plasmids using quantitative PCR. E1: plasmid E1 (36.63 ng); E2: plasmid E2 (40.87 ng); E4: plasmid E4 (23.85 ng); E7: plasmid E7 (29.13 ng); E9: plasmid E9 (45.30 ng), CP: positive control.
Well 4: sample COV334932/2021; Well 7: sample COV825049/2022; Well 8: sample COV748439/2022-8; Well 9: sample COV800150/2022; Well M: : 100 bp DNA Ladder Molecular (Promega).
Discussion
The SARS-CoV-2 is causing the longest pandemic in over three years. Our results show mutants or variants strains circulating in West Africa during the pandemic. Only a partial amplification of Glycoprotein was obtained during this study. On the contrary, the full entire genes of Nucleoprotein, Envelope, and Membrane were positively amplified and generated in E. coli strains recombinant plasmids. Analyzing phylogenetics shows similarities with other strains circulated in West Africa, Europe, and America [18]. The variability of viral strains is described by Glycoprotein Spike gen caused more mutants and variants during the pandemic [19]. Our results correlated with another study that demonstrates the high variability and the failure of diagnosis in qPCR/PCR methods. The recombinant DNA of plasmids is able to amplify positive bands and confirms the stability of plasmids for diagnosis molecular tools [20].
Our study offers the diagnosis with three gens for SARS-CoV-2 detection in West Africa.
Conclusion
The study has established recombinant plasmids for three major genes of SARS-CoV-2 in West Africa. The recombinant DNA can serve as molecular tools in diagnosis. The study offers the opportunity for the cloning of several genes to support research in low-income countries.
References
-
Ashvini M, Murugan SB, Balamurugan S, Sathishkumar R. Advances in molecular cloning. Mol Biol (Mosk). 2016 Jan–Feb;50(1):3–9. doi: 10.7868/S0026898416010134.
Google Scholar
1
-
Nguyen H, Martinez B, Oganesyan N, Kim R. An automated small-scale protein expression and purification screening provides beneficial information for protein production. J Struct Funct Genomics. 2004;5:23–7.
Google Scholar
2
-
Chaudhary VK, Shrivastava N, Verma V, Das S, Kaur C, Grover P, et al. Rapid restriction enzyme-free cloning of PCR products: a high-throughput method applicable to library construction. PLoS One. 2014;9:e111538, pmid:25360695.
Google Scholar
3
-
Zhou M, Zhang X, Qu J. Coronavirus disease 2019 (COVID-19): a clinical update. Front Med. 2020;14(2):126–35. doi:10.1007/s11684-020-0767-8.
Google Scholar
4
-
Zhu N, ZhangD, Wang W, Li X, Yang B, Song J, et al. China novel coronavirus investigating and research team. A novel coronavirus from patients with Pneumonia in China, 2019.N Engl J Med. 2020 Feb 20;382(8):727–33. doi: 10.1056/NEJMoa2001017.
Google Scholar
5
-
Huang C, Wang Y, Li X, Ren L, Zhao J, Hu Y, et al. Clinical features of patients infected with 2019 novel coronavirus in Wuhan, China. Lancet. 2020 Feb 15;395(10223):497–506. doi:10.1016/S0140-6736(20)30183-5.
Google Scholar
6
-
Van derWerf S, Peltekian C. Emergence of the SARS-CoV-2 coronavirus: coping with the Covid-19 epidemic. Virol. 2020;24(S1):3–6. doi: 10.1684/vir.2020.0825.
Google Scholar
7
-
Wrapp D, Wang N, Corbett KS, Goldsmith JA, Hsieh CL, Abiona O, et al. Cryo-EM structure of the 2019-nCoV spike in the prefusion conformation. Sci. 2020;367(6483):1260–3. doi:10.1126/science.abb2507.
Google Scholar
8
-
Worldometer. COVID-19 Coronovirus Pandemic. [Internet]. [updated 2023; cited 2023 Nov 20]. Available from: https://www.worldometers.info/coronavirus/#countries.
Google Scholar
9
-
Kone MGR, Affi ST, Bed AL, Amon BA, Konate B, Ziao N. Forecast evolution of the COVID-19 pandemic in the republic of Côte d’Ivoire: factual statistical analysis. Afr Sci. 2020;16(5):1–7, ISSN 1813-548X. Available from: http://www.afriquescience.net.
Google Scholar
10
-
Fung TS, Liu DX. Human coronavirus: host-pathogen interaction. Annu Rev Microbiol. 2019;73:529–57, Epub 2019/06/22.pmid:31226023.
Google Scholar
11
-
Ju X, Zhu Y, Wang Y, Li J, Zhang J, Gong M, et al. A new cell culture system modeling the life cycle of SARS-CoV-2. PLoS Pathog. 2021;17(3):e1009439. doi: 10.1371/journal.ppat.1009439.
Google Scholar
12
-
Chan JFW, To KKW, Tse H, Jin DY, Yuen KY. Interspecies transmission and emergence of novel viruses: lessons from bats and birds. Trends Microbiol. 2013 Oct;21(10):544–55. doi:10.1016/j.tim.2013.05.005.
Google Scholar
13
-
Chaube R. Vaccine against SARS-CoV-2: challenges and considerations. Can Commun Dis Rep. 2021;47(3):128–31. doi:10.14745/ccdr.v47i03a01.
Google Scholar
14
-
Klasse PJ. How to assess the binding strength of antibodies elicited by vaccination against HIV and other viruses. Expert Rev Vaccine. 2016;15(3):295–311. doi: 10.1586/14760584.2016.1128831.
Google Scholar
15
-
Iwasaki A, Yang Y. The potential danger of suboptimal antibody responses in COVID-19. Nat Rev Immunol. 2020;20:339–41. doi:10.1038/s41577-020-0321-6.
Google Scholar
16
-
Ibrahimi N, Delaunay-Moisan A, Hill C, Le Teuff G, Rupprecht JF, Thuret JY, et al. Screening for SARS-CoV-2 by RT-PCR: saliva or nasopharyngeal swab? Rapid review and meta-analysis. PLoS One. 2021;16(6):e0253007. doi: 10.1371/journal.pone.0253007.
Google Scholar
17
-
Tegally H, San JE, Cotten M, Moir M, Tegomoh B, Mboowa G, et al. The evolving SARS-CoV-2 epidemic in Africa: insights from rapidly expanding genomic surveillance. Sci. 2022 Oct 7;378(6615):eabq5358. doi: 10.1126/science.abq5358. Epub 2022 Oct 7.
Google Scholar
18
-
Cosar B, Karagulleoglu ZY, Unal S, Ince AT, Uncuoglu DB, Tuncer G, et al. SARS-CoV-2 mutations and their viral variants. Cytokine Growth Factor Rev. 2022 Feb;63:10–22. doi: 10.1016/j.cytogfr.2021.06.001.
Google Scholar
19
-
Darai G, Koch H. Amplification and stability of recombinant plasmid molecules with a very large insert of foreign genetic material. Dev Biol Stand. 1985;59:23–9, PMID: 2989047.
Google Scholar
20
Most read articles by the same author(s)
-
Tata G. S. Coulibaly,
Valérie M. Gbonon,
Akandji Osseni,
Flore B. Diplo,
David N. Coulibaly,
Aboubacar Sylla,
Solange K. Ngazoa,
Moktar Toure,
Mireille Dosso,
First Detection of KRAS Mutation in Colorectal Cancer Patients in Côte d’Ivoire , European Journal of Biomedical Research: Vol. 1 No. 5 (2022)





